Share your insights

Help us by sharing what content you've recieved in your exams


Acromegaly focussed examination

Introduction

  • Wash hands
  • Introduce self
  • Ask Patient’s name, DOB and what they like to be called
  • Explain examination and obtain consent

General inspection

  • Increased size of head, hands, feet
  • Coarse facial features

Arms

  • Inspect and palpate with patient’s hands on pillow
    • Dorsum: large, spade-shaped, with signs of osteoarthritis 
    • Palms: sweaty, doughy/boggy texture to palms, capillary glucose stick marks on finger pulps (secondary diabetes)
    • Signs of carpal tunnel syndrome (release scar or loss of thenar eminence and/or loss of sensation in median nerve distribution)
  • Blood pressure (hypertension)

Face

  • General: coarse facial features, acne, enlarged nose and ears, macrognathia (large mandible), look for hypophysectomy scar under upper lip
  • Eyes:Β visual fields (bitemporal hemianopia in pituitary adenoma), protruding supra-orbital ridges
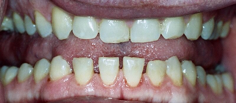
  • Mouth: prognathism (protrusion of mandible), splaying of teeth, macroglossia and ridges from teeth on sides of tongue

Neck

  • Thyroid goitre (increased thyroid vascularity)
  • JVP (cardiomyopathy)

Chest

  • Inspect: barrel chest
  • Acanthosis nigricans in axillae
  • Signs of cardiomyopathy (palpate apex, auscultate heart for murmurs/added sounds and lung bases for pulmonary oedema)

Limbs

  • Pedal oedema (cardiomyopathy)
  • Proximal myopathy (check resisted shoulder abduction, then ask patient to stand up with arms crossed)

To complete

  • Thank patient 
  • β€˜To compete my examination, I would measure the blood pressure, perform thyroid and cardiovascular examinations and formally assess visual fields.’
  • Summarise and suggest further investigations you would consider after a full history, for example:
    • Insulin-like growth factor-1 
    • Growth hormone response to oral glucose tolerance test
    • MRI pituitary

Test yourself with some questions!

What are some potential causes of acromegaly?

Oops! This section is restricted to members. Click here to signup!

How would you investigate for acromegaly?

Oops! This section is restricted to members. Click here to signup!

What is the surgical management of acromegaly?

Oops! This section is restricted to members. Click here to signup!

Can you discuss different medical managements available and their mechanism of action?

Oops! This section is restricted to members. Click here to signup!

Which additional investigations are required in monitoring patients with acromegaly?

Oops! This section is restricted to members. Click here to signup!

Here’s how an acromegaly OSCE station would work

  1. Acromegaly focussed exam
  2. There’s lots more focussed examinations to try

Learn more here…

There’s more learning on acromegaly here!

Picture references

Face acromegaly photos: 2008 Chanson P and Salenave S (Acromegaly. Orphanet Journal of Rare Diseases 3:17 doi:10.1186/1750-1172-3-17), licensed under the Creative Commons Attribution 2.0 Generic license (https://creativecommons.org/licenses/by/2.0/deed.en). Sourced from: https://commons.wikimedia.org/wiki/File:Acromegaly_prognathism.JPEG

No comments yet πŸ˜‰

Leave a Reply